Veneers are a popular choice for those seeking a smile makeover. These thin coverings, placed over the front part of your teeth, can dramatically change your smile’s appearance. Understanding the cost involved is crucial before embarking on this transformation. Veneers are not just a cosmetic investment but also a financial one. Knowing what you’re paying for helps in making an informed decision. This guide will delve into the various aspects affecting veneer costs, ensuring you have all the necessary information.
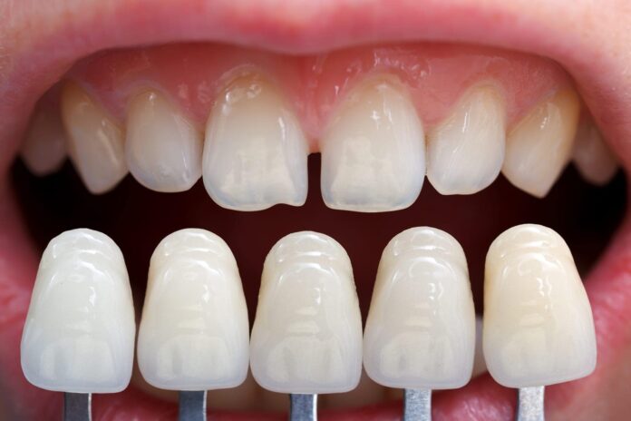
Types of Veneers

There are mainly two types of veneers: porcelain and composite. Porcelain veneers are more durable and realistic-looking but are also more expensive. Composite veneers are less costly and can be applied faster, but they don’t last as long as porcelain and may not look as natural. The choice between these two depends on your budget and aesthetic goals. Porcelain veneers can cost significantly more than composite ones, reflecting in their quality and lifespan. It’s important to discuss with your dentist which type suits your needs and budget.
Factors Affecting Veneer Costs
Several factors influence the price of veneers. The material is a major factor; porcelain is generally more expensive than composite. The location also plays a role; prices can vary significantly from one city to another. Additionally, the dentist’s expertise and reputation can affect costs. A highly experienced and reputable dentist may charge more, reflecting their skill and the quality of results they deliver. It’s important to consider these factors when budgeting for veneers, as they can substantially affect the overall price. You should be aware of all the factors at all times. After all, this procedure is not only aesthetic. So, even if the price you need to pay is out of your comfort zone you need to be prepared to save and get the job done. This is especially the case if you’re cooperating with highly skilled professionals such as Martina Collins Dental & Skin Clinic where they’re more than worth their price.
Average Cost of Veneers

The cost of veneers is highly variable, particularly depending on your geographical location. In the United States, prices can fluctuate significantly from state to state. Generally, you can anticipate spending roughly $500 to $2,500 per tooth for porcelain veneers and around $250 to $1,500 for composite veneers. Please keep in mind that these are approximate figures, and the actual cost can be influenced by several factors, as mentioned earlier. To gain a more precise understanding of potential expenses, it’s advisable to research veneer prices in your specific region.
Cost Breakdown: Material and Labor
The cost of veneers can be broken down into two primary components: material costs and the dentist’s labor fees. Material expenses encompass the veneers themselves, and these costs can fluctuate based on the type and quality you choose. High-quality materials typically come with a higher price tag. Labor costs encompass the dentist’s expertise and time dedicated to the procedure. More complex cases may require additional labor, impacting the overall cost. It’s crucial to recognize that the choice of materials significantly influences the final price.
Initial Consultation

Scheduling an initial consultation with a dentist is a critical step in your veneer journey. During this visit, the dentist evaluates your dental health and discusses the most suitable veneer options for your specific needs. The consultation serves as an opportunity for the dentist to create a tailored treatment plan and estimate the total cost of the procedure. While there might be consultation fees, this step is essential for gaining a comprehensive understanding of both the procedural and financial aspects of your veneer treatment.
Insurance Coverage
It’s essential to understand that dental insurance coverage for veneers is relatively uncommon since veneers are typically regarded as cosmetic procedures. Nevertheless, it’s worthwhile to check with your insurance provider to determine if any aspects of the procedure might be covered. In some cases, dental insurance plans may offer coverage for veneers if they are deemed necessary for restorative purposes. To gain clarity on your insurance coverage and potential out-of-pocket expenses, it is advisable to verify with your insurance company.
Financing Options
For individuals who may find it challenging to pay the full cost of veneers upfront, various financing options exist. Many dental practices provide payment plans, allowing you to distribute the cost over an extended period. Additionally, there are specialized dental financing companies that focus on offering loans for dental procedures. These financing options can enhance the accessibility of veneers, making them a feasible option for a broader range of individuals. However, it is crucial to carefully review the terms and interest rates associated with these financing options to ensure they align with your financial situation.
Additional Costs and Considerations
When budgeting for veneers, it’s important to consider potential additional expenses beyond the core procedure. These additional costs may encompass x-rays, teeth cleaning, or other preparatory dental work required before veneer placement. Post-veneer care is equally vital, potentially involving additional expenses for special cleaning tools or follow-up visits to monitor your oral health. These supplementary costs can accumulate, underscoring the importance of factoring them into your overall budget when planning for veneers.
Cost vs. Long-Term Benefits
Veneers are a significant investment, but they offer long-term benefits. They can dramatically improve your confidence and appearance, positively impacting your social and professional life. From a dental health perspective, veneers can protect your teeth from further damage in some cases. While the upfront cost might seem high, these long-term benefits can justify the investment, making veneers a worthwhile expense for many.
Finding Affordable Options

To find affordable veneer options without compromising on quality, research is key. Look for reputable dentists who offer competitive pricing. Some practices may have special offers or lower prices for multiple veneers. Never compromise on the quality of care for a lower price; always ensure the dentist is qualified and experienced.









